眼外伤是眼科常见急症,多数人认为只有明显伤口、流血、剧痛才是严重损伤,却忽略了那些微小、隐蔽的异物,它们如同“隐形杀手”,伤眼于无形,悄悄损伤眼球内部结构,直至视力急剧下降才被发现,甚至错过最佳治疗时机,造成不可逆视功能损伤。近期,南宁爱尔眼科医院眼底病专科接诊了一例因微小异物致视网膜脱离的患者,其诊疗过程值得每一个人警惕。
【关键警示】微小眼外伤≠轻微损伤
45岁中年男性张大哥,长期从事田间劳作,2个月前在自家菜地用割草机除草时,不慎被异物弹伤左眼。受伤时他仅感左眼轻微异物感、畏光、少量流泪,无明显剧痛,视力也未出现轻度下降。由于症状轻微,患者未重视,仅前往当地卫生院就诊。卫生院因缺乏眼外伤专科诊疗经验及眼科检查设备,医生未对眼球内部结构进行全面检查,仅予抗感染滴眼液、口服活血化瘀药物等保守治疗。

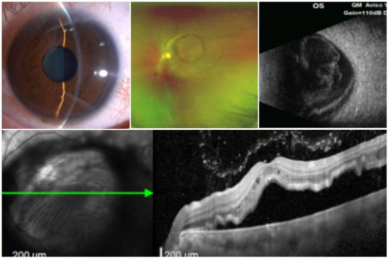
各项眼部检查均未发现明显异物
用药观察2月后,张大哥眼痛等症状逐渐缓解,但是还是看不清东西,再次去卫生院复查,建议转上级医院进一步诊治。眼底病专科欧足国主任接诊了该患者,当时视力0.25,结合患者外伤史,立即完善相关检查,包括裂隙灯检查、眼底检查、眼部B超、OCT、SLO等,然而常规B超及眼底检查均未发现明显异物,仅提示“左眼视网膜脱离及玻璃体积血”。
【术中探查】微小异物是“元凶”
结合患者外伤史及检查结果,欧足国主任高度怀疑眼内存在隐匿性异物,异物可能极小、极薄,且位置隐蔽,才导致影像学检查未能识别。为明确病因、挽救视力,欧足国主任决定为患者实施玻璃体视网膜手术治疗。

术中发现异物图
术中,欧足国主任凭借丰富的临床经验,对眼球内部进行反复、细致的探查,最终在下方6点锯齿缘周围视网膜附近找到一枚微小、菲薄的异物——正是这枚隐匿的异物,在弹伤眼球时穿透眼球壁,直接损伤视网膜,形成视网膜裂孔(视网膜出现破损缺口),眼内液体逐渐渗入视网膜下,最终导致孔源性视网膜脱离(眼内液体渗入视网膜下,导致视网膜脱离),这也是患者视力下降的根本原因。欧足国主任精准操作,顺利取出眼内微小异物,同时对脱离的视网膜进行复位、激光光凝封闭裂孔,手术过程顺利。
术后经过规范的抗炎、抗感染、营养神经等对症治疗,患者炎症消退、视网膜复位良好,1月复查时矫正视力为0.6。但令人遗憾的是,因视力无法完全恢复至受伤前水平——若受伤后第一时间到专业眼科就诊,或许视力可最大程度保留。
这一案例并非个例,在临床工作中,我们经常遇到因忽视微小眼外伤、未及时到专业眼科就诊而延误治疗的患者。眼外伤的严重程度,往往与表面症状不成正比,那些微小、轻薄、高速飞行的异物,虽然可能仅造成眼球表面微小伤口,甚至无明显伤口,却可能穿透眼球壁,损伤角膜、晶状体、视网膜等重要结构,引发视网膜裂孔、视网膜脱离、眼内炎等严重并发症,若延误治疗,最终可能导致失明。
【就医提示】眼外伤首诊选专业眼科
在此,欧足国郑重提醒广大群众:眼部结构精细脆弱,任何眼部异物弹伤、撞击伤、划伤,无论症状轻重,都切勿掉以轻心,更不能仅凭表面症状判断损伤程度。基层医疗机构受限于设备和专科经验,难以对眼球内部结构进行全面评估,因此,一旦发生眼外伤,务必第一时间前往专业眼科机构就诊,通过裂隙灯、眼底镜、眼部超声检查(可发现隐匿异物)、眼部CT等全面检查,明确是否存在眼内异物、视网膜损伤等隐匿性病变。
同时,日常生活中也要做好眼部防护:田间劳作建议佩戴防冲击防护眼镜,户外作业可选择防紫外线+防异物双重防护款;若有异物不慎入眼,切勿用手揉眼,可轻轻眨眼让泪水冲洗,无效则立即就医。一旦出现眼部不适、视力下降、眼前黑影等症状,及时就医,切勿拖延,才能最大程度保护视功能,避免“隐形杀手”造成不可挽回的伤害。守护心灵之窗,从重视每一次微小眼外伤开始。
署名:黄晓芸
免责声明:市场有风险,选择需谨慎!此文仅供参考,不作买卖依据。
责任编辑:kj015