走进眼科医院,映入眼帘的竟是一幅幅精美的“画作”?近日,深圳普瑞眼科医院打破常规,举办了一场别开生面的展览——《失明边缘的画展》,展出的并非名家画作,而是各种眼底病患者真实的眼底影像,呼吁人们关注眼底病,早筛查早治疗,谨防失明。

《失明边缘的画展》展览现场
在展览现场,一幅幅色彩鲜明、纹路各异的的“画作”被挂在展墙上,灯光一照,显得精致、唯美。它们或如繁星点点,或似迷雾笼罩,或像高山断崖⋯如果不看说明,观众很难想象,这些图像竟是被高清放大眼底的“微观宇宙”。
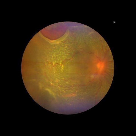
一张裂孔源性视网膜脱离的眼底彩照,颞上方有较大的裂孔,边缘反卷,整个视网膜脱离呈青灰色隆起。患者视力下降,伴眼前黑影飘动1月余。

【裂孔源性视网膜脱离】
一张早期糖尿病性视网膜病变照相,可见散在渗出,微血管瘤,合并有眼底动脉硬化,静脉阻滞呈“腊肠”样,部分部位有“串珠”样改变。患者视力持续下降三年。

【早期糖尿病性视网膜病】
一张高度近视性视网膜脉络膜病变的眼底彩照,后极部视网膜脉络膜萎缩、变薄,合并有漆样裂纹、出血、新生血管形成等病理改变。患者矫正视力仅为0.5。

【高度近视性眼底病变】
一张红黄绿的OCT(光学相干断层扫描),边缘呈断崖式垂落,显示黄斑部(视网膜视力最敏锐的位置,承担人90%的视力)视网膜脉络膜缺损。患者自由视力不佳,如今只有眼前指数(仅能判断近距离如眼前50cm或30cm处,手指的数量)的视力。

【黄斑部视网膜脉络膜缺损】
这一幅幅唯美的“画作”背后,是一只只真实的眼睛,是一种种可能令人失明的眼疾。这场特殊的展览,将“不可见”的眼底世界,用最直观的方式展示在人们面前,警示人们关注眼底健康,否则可能失去色彩与光明,坠入无尽的黑暗之中。
“以前看到眼底检查照片,总觉得是冷冰冰的医学证据,但没想到装进画框后,竟然这么震撼。”一位前来就诊的的市民,在参观后感慨道,“这让我第一次觉得,眼睛里的血管竟然这么精妙,也提醒我要好好保护它们。”

市民参观展览
普瑞眼科医院集团科研中心总监、深圳普瑞眼科医院院长刘红山教授表示,许多眼底病早期无症状,一旦视力下降往往已错过最佳治疗时机。这场展览是很好的科普,通过艺术化的呈现,让市民直观地了解眼底病,从而重视眼底筛查,做到早发现早治疗。

刘红山教授看诊
“糖尿病患者、高血压患者、高度近视人群、有青光眼家族史者、中老年人,应每年至少进行一次专业的眼底检查;如果突然出现视力下降、视物变形、视野缺损、眼前黑影飘动、闪光感等症状,应立即就医,进行眼底检查,以排除视网膜裂孔、脱离、黄斑病变等严重眼底疾病。”深圳普瑞眼科医院眼底病科许正华主任建议道。

许正华主任看诊
据了解,《失明边缘的画展》将长期在深圳普瑞眼科医院展出,欢迎广大市民前来打卡。
责任编辑:kj015