目前,种植牙可以修复缺失牙已经被广大人群所熟知,让无牙人重拾口福。
但对于种植牙使用的技术并不是很了解,下面就随着种牙医生陈昊的介绍一起来了解什么是即刻负重种植牙吧。
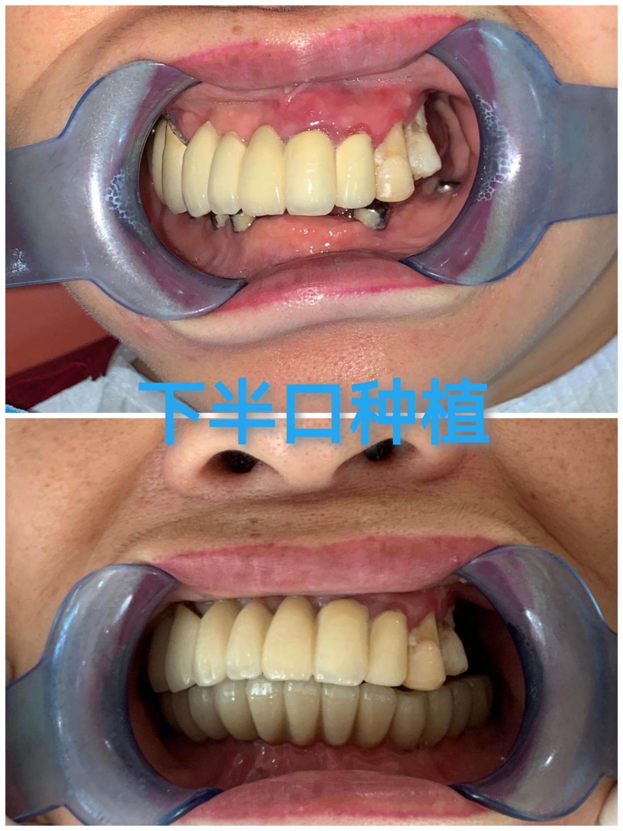
即刻负重种植牙,主要针对半口缺失或全口缺失的情况下,上下颌各利用4·6颗种植体,在种植体的基台上,搭建“连桥”,佩戴牙冠,恢复半口咬合或者全口咬合。

那,即刻负重种植牙有什么优势?
1、种植牙治疗周期缩短
2、迅速恢复咬合和美观,减轻患者缺牙的痛苦
3、有利于牙龈组织成形,能获得理想的美学效果
4、节省手术次数、创伤,患者的舒适度和体验感会更高
注意啦!!即刻负重虽然优势多多,但对口腔要求和医生技术的要求特别高,请选择实力过硬的种植牙医生
武汉市六医院口腔科主任医师-陈昊主任,湖北省临床医学会种植专业委员会委员,华中口腔医学会美学专委会成员。1997年本科毕业于武汉大学口腔医学院,在职研究生。于江汉大学附属医院从事口腔全科工作20年,期间曾多次赴粤港澳台学习交流。现主要从事口腔种植治疗,口腔美学修复, CAD - CAM 牙体修复治疗,机扩热凝根管治疗等工作、各种复杂条件的种植治疗、各种超声及激光技术,带教近20年江汉大学本科及口腔专科实习生。
擅长:口腔种植治疗、口腔美学修复、 CAD - CAM 牙体修复治疗、机扩热凝根管治疗、各种骨增量技术及上颌窦内外提升, ONLAY 技术等、前牙区美学修复等专业、微创拔牙技术,及各种复杂阻生牙拔除技术。


责任编辑:kj005
文章投诉热线:156 0057 2229 投诉邮箱:29132 36@qq.com